Протезування зубів
в місті Буча
- сучасні методи відновлення здоров’я і краси вашої усмішки
Втрата або пошкодження зубів не повинна впливати на вашу якість життя. Сучасна стоматологія пропонує безліч ефективних методів протезування, які допоможуть повернути як функціональність зубного ряду, так і привабливий вигляд вашої усмішки. У цій статті ми розповімо про основні види протезування зубів, їх переваги та особливості.

Вініри: природна естетика передніх зубів

вініри

Вініри — це тонкі накладки з кераміки або композиту, які фіксуються на передній поверхні зубів. Вони підходять для виправлення кольору, форми та невеликих дефектів зубів.

Переваги:

  • Естетичний і природний вигляд.
  • Довговічність (особливо у керамічних вінірів).
  • Мінімальна обробка зубів.

Накладки та вкладки: альтернатива пломбам

Накладки (онлеї) та вкладки використовуються для відновлення жувальних поверхонь зубів. Вони виготовляються з композиту, кераміки або металу, забезпечуючи міцність і естетику.

Переваги:
  • Тривалий термін служби.
  • Точна адаптація до анатомії зуба.
  • Естетичний вигляд, якщо використовуються керамічні матеріали.

Керамічні накладки

Керамічні накладки

Полукоронки: для часткового відновлення зуба

Полукоронки — це рішення, коли зуб частково зруйнований, але не потребує повного покриття. Вони забезпечують міцність і відновлюють природну форму зуба.

Коронки: надійний захист і відновлення зубів

коронки
Коронки застосовуються, коли зуб сильно пошкоджений або ослаблений. Вони повністю покривають зуб і забезпечують його функціональність та естетику.
 

Переваги:

  • Безметалеві коронки: виготовляються з кераміки або цирконію, мають високу естетичність і підходять для передніх зубів.
  • Керамічні коронки: надають зубам природний вигляд завдяки своїй прозорості.
  • Коронки з діоксиду цирконію: ідеальні для жувальних зубів, оскільки поєднують міцність та естетику.
  • Метало-керамічні коронки: міцні та довговічні, підходять для задніх зубів.
  • Металеві коронки: використовуються рідко, але залишаються економічним і міцним варіантом.

Мости: заміна кількох зубів

мости
Зубні мости — це протези, які використовуються для заміщення одного або кількох відсутніх зубів, кріплячись на сусідні зуби або імпланти.

Переваги:
  • Відновлення зубного ряду.
  • Стабільність і комфорт.
  • Природний вигляд при використанні керамічних матеріалів.

Часткові та повні знімні протези:
функціональність та комфорт

Види протезів:

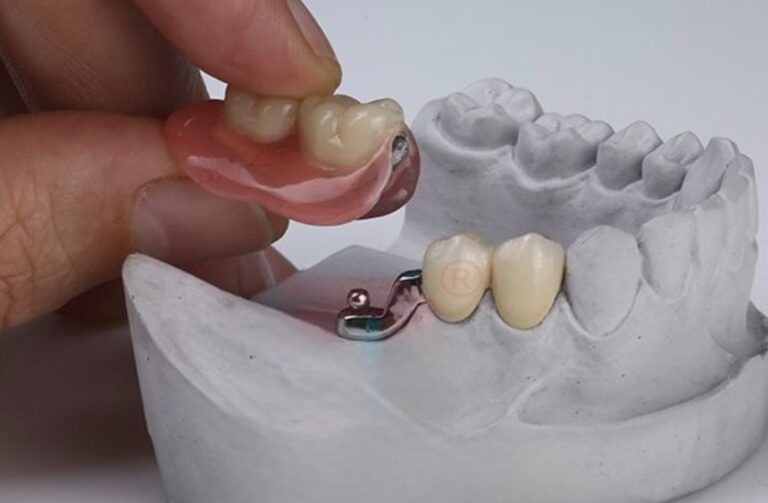
Бюгельні протези

Бюгельні протези
Це знімні зубні протези з металевою основою (дугою), які використовують для відновлення часткової втрати зубів. Вони фіксуються у роті за допомогою кламерів (гачків), замків або телескопічних коронок.


Переваги:

  • Зручні, надійно тримаються.
  • Рівномірно розподіляють навантаження на зуби та ясна.
  • Мають тривалий термін служби.

Мікро - протез на замках

Мікро - протез на замках
це сучасний знімний або напівзнімний протез, який кріпиться до опорних зубів за допомогою спеціальних замкових кріплень (аттачментів)

Переваги:
  • естетичний вигляд (непомітні замки)
  • надійна фіксація
  • комфорт у користуванні

Протези на естетичних кламмерах

Протези на естетичних кламмерах
Ці протези мають спеціальні кріплення, які зберігають природний вигляд ротової порожнини.

Переваги:
  • Менш помітні кріплення.
  • Комфорт у використанні.

Протези на прихованих замках

Протези на прихованих замках
Використовуються для естетичного протезування, коли кріплення непомітні під час посмішки.

Переваги:
  • Надійна фіксація.
  • Непомітність конструкції.

Нейлонові протези: гнучкість та комфорт

Нейлонові протези: гнучкість та комфорт
Нейлонові протези — це легкі, гнучкі та зручні знімні конструкції, які добре підходять для пацієнтів із підвищеною чутливістю ясен.

Переваги:
  • Гнучкість і зручність у носінні.
  • Підходять для пацієнтів із алергією на метал.
  • Естетичний вигляд.

Акрилові протези: доступне рішення

Акрилові протези: доступне рішення
Акрилові протези залишаються популярним варіантом завдяки своїй економічності. Вони підходять для повного або часткового протезування зубів.


Переваги:

  • Невисока вартість.
  • Легкість у виготовленні та ремонті.

Чому обирають нас для протезування?

 

  1. Індивідуальний підхід: ми враховуємо всі ваші потреби та побажання.
  2. Сучасні технології: працюємо з новітніми матеріалами та обладнанням.
  3. Досвід: наші лікарі мають великий досвід у сфері протезування.
  4. Гарантія комфорту: ми забезпечуємо точну посадку та довговічність кожного протеза.

 

Не відкладайте вирішення проблем із зубами!

 

Протезування — це інвестиція у ваше здоров’я, комфорт і впевненість.

Запишіться на консультацію, і ми допоможемо підібрати оптимальний варіант для вас!